入れ歯(義歯)
このページの目次
見た目や機能性にこだわった快適な入れ歯治療を心がけております

エトワール歯科クリニックでは、「自然な見た目」や「しっかり噛める」ことにこだわった精密な入れ歯の製作を行っております。お口の状態だけでなく、日々の暮らしやお悩み、ご希望なども丁寧に伺いながら、患者さま一人ひとりに合った入れ歯治療をご提案いたします。初めて入れ歯を製作される方はもちろん、「入れ歯が合わない」「もっと快適にしたい」と感じている方も、どうぞお気軽にご相談ください。
特長の違うさまざまな入れ歯をご用意しております
入れ歯に対するご希望やお悩みは、患者さま一人ひとり異なります。当院では、患者さまのご要望にお応えできるよう、特長の違うさまざまな入れ歯をご用意しております。
保険適用の入れ歯

保険で製作可能な入れ歯です。欠損歯の数によって部分入れ歯、総入れ歯をご提案いたします。保険適用の入れ歯は、床と人工歯に歯科用のレジン(プラスチック)を使用し、総入れ歯は粘膜との吸着によって固定、部分入れ歯はクラスプ(金属のバネ)を残存歯に引っ掛けて固定します。保険適用の入れ歯は、安価で製作できるというメリットがありますが、使用できる素材等が制限されているため、自費の入れ歯に比べると審美性や機能性は劣ってしまいます。
ノンクラスプデンチャー

ノンクラスプデンチャーは、クラスプ(金属のバネ)がなく、歯茎の色味に近い樹脂によって固定する部分入れ歯です。クラスプ(金属のバネ)がないため、見た目が良く、入れ歯であることが気づかれにくい設計となっています。弾力のある樹脂のため、装着時の違和感も少ないことが特長です。
金属床デンチャー

金属床デンチャーは、床(入れ歯の土台部分)にコバルトクロムやチタンなどの金属を使用した入れ歯です。強度のある金属を使用することによって入れ歯を薄く製作できるため、装着時の異物感が軽減します。また、金属は熱伝導率が高く、飲食物の温度が伝わりやすいため、より一層食事を楽しむことができます。
マグネットデンチャー

マグネットデンチャーは、歯根部分に埋め込んだ金属と入れ歯に設置した磁石の引き合う力によって固定する入れ歯です。安定性が高く、しっかりと噛むことができます。クラスプ(金属のバネ)もないため、着用時の見た目も綺麗です。
シリコンデンチャー

シリコンデンチャーは、粘膜との接触する部分に弾力性のある生体シリコンを用いた入れ歯です。シリコンによって咀嚼時の負担が抑えられ、痛みを和らげます。シリコンによって吸着力も高くなるため、入れ歯が安定してしっかり噛むことができます。
インプラントオーバーデンチャー

インプラントオーバーデンチャーは、顎骨に埋め込んだインプラントを支柱として固定する入れ歯です。インプラントを支柱にしているため、通常に入れ歯に比べて安定感が高く、ズレたり、外れたりしにくいため、しっかりと噛むことができます。
入れ歯治療のリスク・注意点について
- 選択する入れ歯によって自費診療の扱いとなるため、費用が高額になる場合があります。
- 金属を使用した入れ歯は、金属アレルギーのリスクがあります。
- 選択した入れ歯によっては、外科処置や歯を削る処置が必要となります。
- 歯科医院にて定期的なメンテナンスが必要となります。など
審美性・機能性・耐久性の高い入れ歯を製作するための対策
エトワール歯科クリニックでは、患者さまのご希望やお悩みを考慮した入れ歯の製作に努めております。患者さまのお口に合った入れ歯をご提供するため、一つひとつの工程にこだわり、入れ歯の審美性や機能性、耐久性の向上に努めております。
実績豊富な歯科技工士との連携

入れ歯は歯科医師が収集した情報を基に歯科技工士が製作します。当院では、経験豊富な歯科技工士と密に連携を取りながら入れ歯を製作しております。
シリコン材による精密な型取り

患者さまのお口にフィットする快適な入れ歯を製作するためには、設計図となる型取りが重要になります。当院では、型ズレの起こりにくいシリコン材を用いて精密な型取りを行います。
個人トレーによる筋圧形成

咀嚼時や装着時の違和感を軽減するためには、粘膜の動きや癖を正確に把握し、それに合わせて入れ歯を製作することが大切です。当院では、筋圧形成という工程において、患者さま一人ひとりのお口に合わせて作製した個人トレーを使用し、粘膜の動きや癖などの情報を丁寧に記録します。その情報を基に入れ歯を製作することで、より快適な装着感を実現いたします。
咬み合わせ専門医による咬合調整

咀嚼時に部分的に大きな力がかかったり、左右のバランスが合っていなかったりすると、入れ歯の劣化や破損の原因となります。当院では、入れ歯を良い状態で長持ちしていただけるよう、咬み合わせの専門医が咬合調整をしっかりと行います。
マグネット義歯とセラミック治療によって咬み合わせを改善した症例
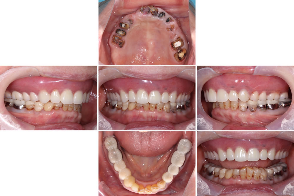
こちらの患者さまは、上顎のかぶせ物の脱離を主訴に来院されました。残存歯は二次的な虫歯が多く保存不可な歯もありました。
上顎は義歯で治療することになりましたが、咬み込みが深くなっており、そのままでは義歯をいれるスペースがない状況でした。患者さまと相談し、全体的な咬み合わせのバランスも整えて治療を進めることになりました。
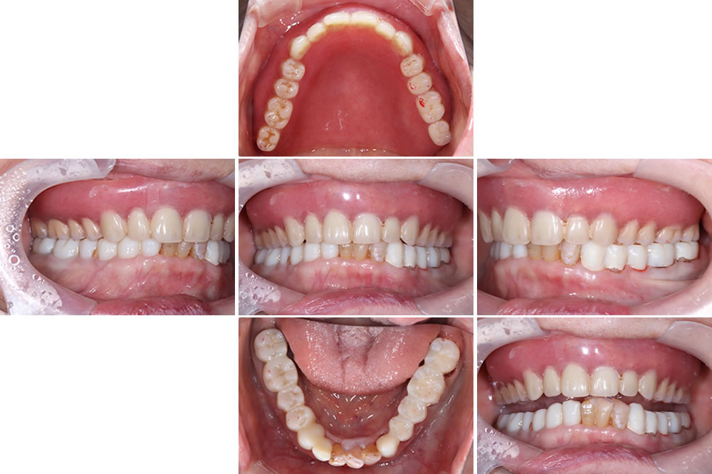
応急処置
まずは、一先ず咬める状態を作るために上顎には義歯を製作、下顎にはプラスチックのプレートを歯の上から貼り付け、咬み込みが深かった状態を応急的に解消しました。
仮歯の装着
【▼右下】
【▼左下】
その後、右下臼歯、左下臼歯それぞれのかぶせ物を外し、虫歯を除去した後に土台を作り直して仮の歯を作製、装着しました。
下顎の歯を仮歯に置き換えた状態です。
マグネット付きコア装着
上顎の保存不可能な歯は抜歯、まだ残せる歯根にはマグネットを装着しました。上顎総義歯のデメリットの一つに外れやすくなる可能性がありますが、歯根と総義歯それぞれにマグネットを組み込み、磁力で維持を取れるように準備しました。
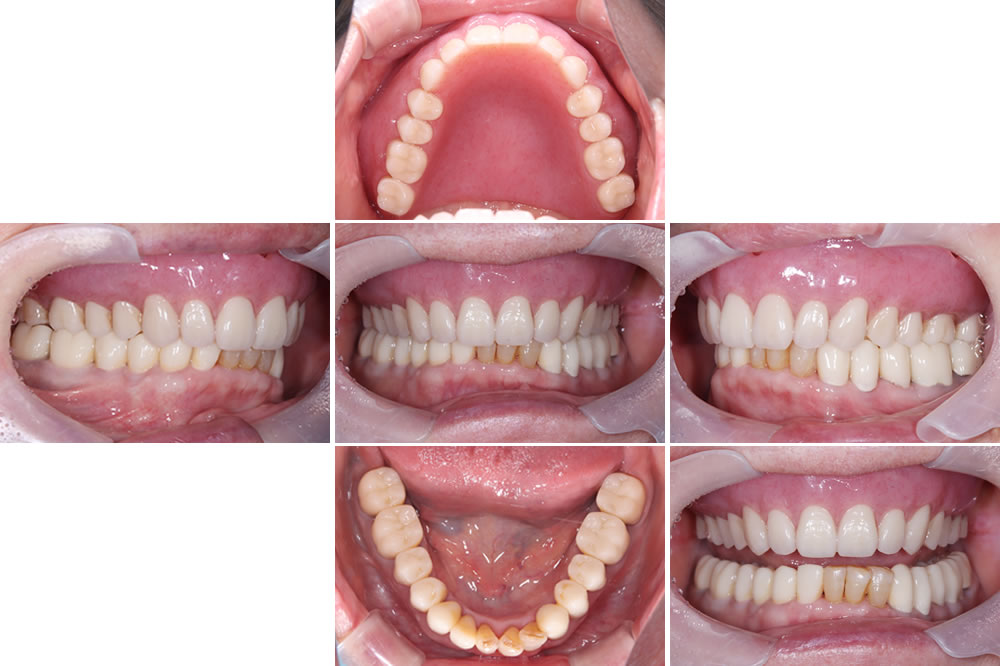
精密仮義歯・精密仮歯の装着
抜歯したところの傷口の治癒が確認されたので、最終補綴物と同形態の精密仮義歯・精密仮歯を作製・装着しました。ここで審美性、機能性等に問題ないかを確認します。問題なければ、こちらを参考に最終補綴物を作製します。
コピーデンチャー作成
精密仮歯で煮詰めた情報を基に最終補綴物を作製するため、精密仮義歯の複製義歯を作製しました。歯茎の状態のみ最新のものに型取りし、適合を再調整しています。あわせて下顎の型取りも行い、最終補綴物を作製しました。
完成義歯
最終の義歯です。マグネットが組み込まれ磁力で維持が取れるようになっています。また厚みを極力薄くでき、強度も取れる金属タイプの義歯で今回は作製しました。
治療完了
治療終了時の口腔内の状態です。自然な口元になり、咬み合わせも安定しました。上顎義歯のピンク色のところはレーザー加工し、より天然の状態に近づけています。
| 年齢・性別 | 80代 女性 |
|---|---|
| 治療期間 | 6ヵ月 |
| 治療回数 | 25回 |
| 治療費(税込) | 2,300,000円 |
| リスク・注意点 | 総義歯は天然歯の咬合に比べて、異物感は一般的に大きくなります。 |
下松市でよく噛める快適な入れ歯の製作をご希望の方へ

エトワール歯科クリニックでは、患者さま一人ひとりのご希望やお悩みにお応えできるよう、豊富な種類の入れ歯をご用意しております。また、見た目だけでなく機能性や耐久性のバランスにこだわり、より自然でよく噛める、痛みの少ない入れ歯づくりに努めています。下松市で「よく噛める快適な入れ歯」の製作をご希望の方は、ぜひ当院までお気軽にご相談ください。










