インプラント(口腔外科)
このページの目次
- 1 安全面を重視した精密なインプラント治療を心がけております
- 2 一般的なインプラント治療の流れを動画で確認
- 3 治療期間が短く負担の少ない抜歯即時埋入インプラントに対応
- 4 無歯顎の方にはオールオン4インプラントをおすすめいたします
- 5 世界シェアNO1のストローマン社のインプラントを採用しています
- 6 インプラント治療に伴うリスク・注意点について
- 7 インプラント治療を安全に実施するための対策について
- 8 骨が足りない場合は骨造成法の併用でインプラント治療を可能に
- 9 アフターケア・定期メンテナンスでインプラント周囲炎を予防
- 10 歯根破折歯に対して抜歯即時にてインプラント埋入した症例
- 11 歯肉移植を併用したインプラント症例
- 11.1 インプラント埋入手術の実施
- 11.2 ①術前
- 11.3 ②歯肉を切開
- 11.4 ③インプラントを埋入
- 11.5 ④骨造成の実施
- 11.6 ⑤患部の保護
- 11.7 ⑥縫合
- 11.8 治療後の経過
- 11.9 FGG(遊離歯肉移植術)の実施
- 11.10 FGG(遊離歯肉移植術)の経過
- 11.11 プロビジョナル(精密仮歯)装着
- 11.12 ①術前
- 11.13 ②銀歯の除去
- 11.14 ③虫歯の除去
- 11.15 ④支台形成
- 11.16 ⑤プロビジョナル装着
- 11.17 上下顎にプロビジョナル(精密仮歯)装着完了
- 11.18 最終的な上部構造(人工歯)を装着・治療完了
- 11.19 治療前後の比較
- 11.20 治療前
- 11.21 治療後
- 12 下松市で安全面にこだわった精密インプラント治療をご希望の方へ
安全面を重視した精密なインプラント治療を心がけております

エトワール歯科クリニックでは、歯を失った方の治療法の一つとしてインプラント治療をおすすめしております。口腔内の状態、患者さまのご要望等を考慮し、適切な治療計画をご提案いたします。
インプラント治療とは?
歯科の分野におけるインプラント治療とは、歯を失った部分の顎骨に生体親和性の高いチタン製の人工歯根を埋入し、その上に人工歯(上部構造)を装着して歯の機能を回復する治療法です。
埋入した人工歯根は骨としっかり結合しているため、入れ歯やブリッジに比べて安定性が高く、天然歯と変わらない感覚で会話や食事が行えます。インプラント治療では手術が必要となりますが、一般的な症例であれば通常の歯科治療と同じ位の時間で処置が完了し、入院等も必要ありません。
一般的なインプラント治療の流れを動画で確認
こちらはメディカルネットさんが製作された「一般的なインプラント治療の流れ」の解説動画です。とても分かりやすく解説されていますので、インプラント治療を検討されている方は、ぜひ一度ご覧ください。
治療期間が短く負担の少ない抜歯即時埋入インプラントに対応
エトワール歯科クリニックでは、抜歯即時インプラントという特殊なインプラント治療にも対応しております。
通常のインプラント治療は、抜歯部分が治癒してからインプラントの手術を実施しますが、抜歯即時埋入インプラントは抜歯と同時にインプラントの埋入手術まで行い、場合によっては仮歯まで装着することができる術式となっています。
そのため、全体を通して外科処置の回数が少なくなり、さらに治療期間を短縮することができるため、患者さまの負担軽減に繋がります。抜歯即時埋入インプラントが適応可能な場合は、選択肢の一つとしてご提案いたします。
無歯顎の方にはオールオン4インプラントをおすすめいたします
無歯顎の方には、オールオン4インプラントをおすすめいたします。オールオン4インプラントとは、最小4本のインプラントを顎骨に埋入し、片顎すべての歯を支えて見た目や歯の機能を回復する治療法です。
通常のインプラント治療は、1つの歯に対して1本のインプラントが必要ですが、オールオン4はわずか4本のインプラントで多くの歯を固定できるため、身体や費用の負担を大幅に軽減できます。
世界シェアNO1のストローマン社のインプラントを採用しています
エトワール歯科クリニックでは、患者さまにより良いインプラント治療をご提供するため、世界シェアNO1のストローマン社のインプラント体を採用しています。
ストローマン社は老舗のインプラントメーカーで、豊富な臨床データを基に現在も改良・進化し、世界中の歯科医師からも信頼を集めています。ストローマンインプラントは、SLAアクティブという独自の表面性状によって、顎骨と結合が早く、短期間で治療が完了することが特長です。
また、埋入後のトラブルも少なく、10年を超える長期症例も数多く存在します。
インプラント治療に伴うリスク・注意点について
- インプラント治療は自費診療となるため、保険適用の治療に比べて費用が高額になります。
- 下顎には大きな血管や神経が通っているため、手術の際にそれらを損傷してしまうと、多量の出血や神経麻痺を起こすリスクがあります。
- 骨量が不足している場合は、骨を増やす処置を併用することがあります。また、場合によってインプラント治療が受けられない場合があります。
- 手術後は一時的に患部の痛み・腫れを伴うことがあります。
- 日々のケア、定期的なメンテナンスを怠ると、インプラント周囲炎のリスクが高くなり、症状が悪化することによって最終的にインプラントが抜け落ちてしまうことがあります。など
インプラント治療を安全に実施するための対策について
インプラント治療は外科手術が必要となるため、リスクを伴います。エトワール歯科クリニックでは、事前の検査や衛生管理などを徹底し、インプラント治療に伴うリスクの軽減に努めております。
CTによる精密検査を実施
インプラント治療の際は、事前にCTによる精密検査を実施いたします。
インプラントを埋入する顎骨の状態をはじめ、周囲の血管や神経などの位置を3次元画像で確認した上で、適切な治療計画を立案いたします。
サージカルガイドによる人為的ミスの防止
インプラントの埋入手術では、サージカルガイドと呼ばれるマウスピース型の器具を使用します。サージカルガイドは、CT検査や事前のシミュレーションの情報を基に製作します。
インプラントの埋入位置や角度、最終到達点などが反映されているため、手術中の人為的なミスを防ぎ、計画通りの位置へインプラントを埋入することができます。
外科処置専用のオペルームを完備
インプラント手術の際は、細菌感染への対策が重要となります。そのため、エトワール歯科クリニックのインプラント治療は、衛生管理を徹底したオペ専用ルームで実施いたします。
外科処置を安全に行うための豊富な設備も備えておりますので、どうぞご安心ください。
骨が足りない場合は骨造成法の併用でインプラント治療を可能に
歯を失った部分は、咀嚼時の刺激が骨に伝わらなくなることによって、少しずつ骨が退縮していきます。そのため、長い間歯のない状態で放置されていた方は十分な骨量がなく、場合によってはインプラント治療が適用できないということもあります。
このような場合、通常は入れ歯やブリッジなどで治療することになりますが、当院では下記の骨造成法を併用して骨の再生を促進することによって、患者さまのご希望に添えるよう努めております。
ソケットリフト

ソケットリフトは、上顎の骨がわずかに不足している場合に行う骨造成法です。インプラントを埋入する穴から骨補填材を挿入し、不足した骨の厚みを補います。
サイナスリフト

サイナスリフトは、上顎の骨が大幅に不足している場合に行う骨造成法です。歯茎を切開して上顎洞の粘膜を持ち上げ、そこに自家骨や骨補填材を設置して骨の再生を促します。
GBR(骨再生誘導法)

GBR法(骨誘導再生法)は、骨の厚みや高さが不足している場合に行う骨造成法です。骨が不足している部分の歯茎を切開し、自家骨や骨補填材を入れ、メンブレンという保護膜で覆って骨の再生を促進します。
アフターケア・定期メンテナンスでインプラント周囲炎を予防

インプラント治療については、手術の成功だけでなく、手術後に良い状態をどれだけ長く維持できるかが重要となります。インプラントは人工物ですが、日々のケアやメンテナンスを怠ると、お口の中に細菌が繁殖して「インプラント周囲炎」を引き起こす可能性が高くなります。
インプラント周囲炎は、インプラントの歯周病と呼ばれる病気で、症状が悪化すると、インプラントを支える歯茎や骨が破壊され、最終的にインプラントが抜け落ちてしまいます。エトワール歯科クリニックでは、そのようなことが起こらないよう、アフターケアや定期メンテナンスに力を入れ、責任を持って管理させていただきます。
歯根破折歯に対して抜歯即時にてインプラント埋入した症例
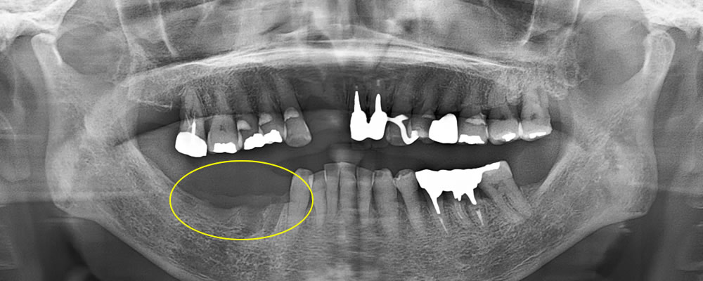
こちらの患者さまは、右下奥から2番目の歯が噛んだ時に痛いとの主訴で来院されました。
レントゲン写真にて、右下6番歯の歯根周囲に透過像を認めました。口腔内を確認したところ、メタルインレー下に二次う蝕を認めました。また、歯周ポケットは10mmと深く、歯根破折が疑われたため、補綴物を除去して精査することとなりました。
メタルインレーの除去
当該歯のメタルインレーを除去したところ、歯の内部に2次カリエス(虫歯の再発)を認めました。
う蝕検知液(虫歯部分に着色する薬液)を使用しながら、慎重に虫歯除去を行ったところ、遠心に歯根破折を確認しました。歯周ポケットが深かった部位と破折線が一致しており、このままつめ物を装着しても予後不良となる可能性があることを患者さまに説明したところ、抜歯とインプラントによる治療を希望されました。
また、他の銀歯の下にも複数の二次カリエスが認められたため、患者さまは口腔内全体の銀歯を除去し、再治療を行うことを希望されました。
インプラント手術の実施
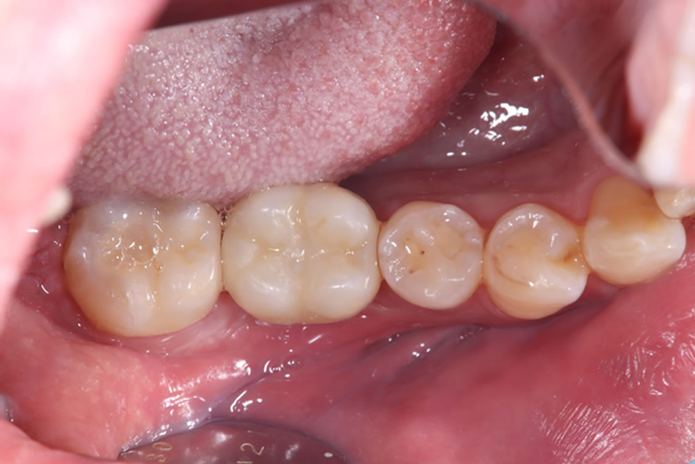
上部構造の装着・治療完了
3ヶ月後に二次オペを行い、その後の歯肉の状態を確認したところ、周囲歯肉に炎症は認められませんでした。
また、奥の銀歯についてもセラミックへの置き換えを希望されていたため、同時につめ物の作成を行いました。
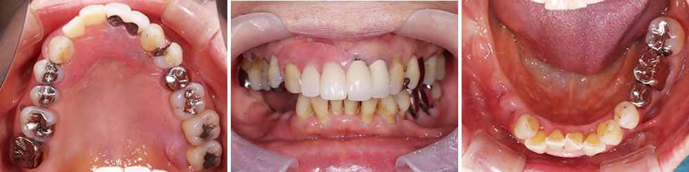
治療前後の比較
奥歯の痛みも消失し、快適に噛めるようになったとのことでした。また、最終的にはメタルフリーな口腔内となり、カリエスリスクの低減、審美性が向上しました。
| 年齢・性別 | 50代 男性 |
|---|---|
| 治療期間 | 4ヵ月 |
| 治療回数 | 12回 |
| 治療費(税込) | 605,000円(インプラントとセラミックアンレー1本ずつ) |
| リスク・注意点 | 骨の状態等により治療期間は変動します。 |
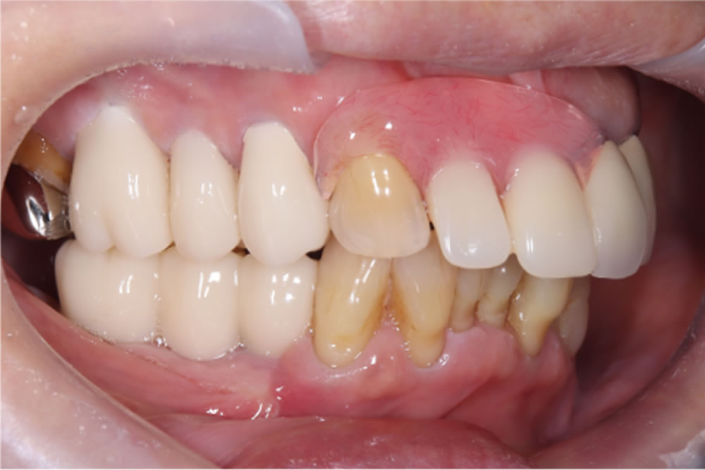
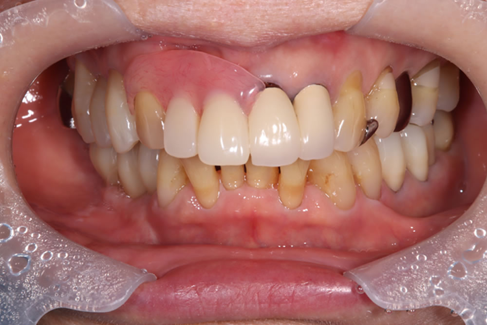
歯肉移植を併用したインプラント症例
こちらの患者さまは、右下奥欠損部へ歯を入れたいとの主訴で来院されました。来院1ヵ月前に他院にて右下奥歯を2本抜歯したとのことでした。
義歯やインプラントといった方法があり、メリットデメリットを説明したところ、今回はインプラントによる治療を希望されました。
また、口腔内全体の状態を確認すると、右上奥歯の挺出(下方に伸びている状態)も認めたため、上下でバランスをとって補綴する計画を立てました。
インプラント埋入手術の実施
治療後の経過
FGG(遊離歯肉移植術)の実施
移植した歯肉が安定して固定・生着できるよう、受容床を適切に形成します。
上顎の口蓋(上顎の内側)から、歯肉の移植片を慎重に採取します。
移植片が適切な位置で生着できるよう、受容床に密着させた状態で縫合し、しっかりと固定します。
FGG(遊離歯肉移植術)の経過
移植した歯肉は良好に生着しており、上顎口蓋の採取部位についても順調に治癒が進んでいます。
術前は歯肉が非常に薄く大半が可動粘膜でしたが、術後はインプラント周囲に角化粘膜が獲得できました。
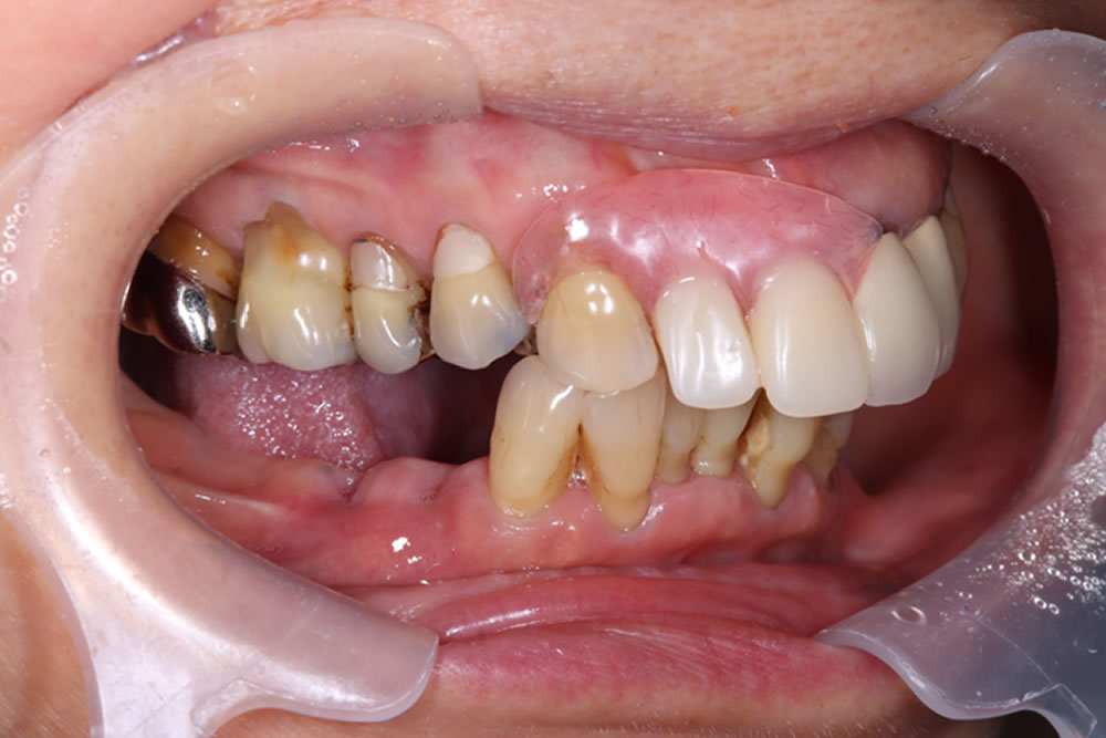
プロビジョナル(精密仮歯)装着
【下顎】
下顎に埋入したインプラントにプロビジョナル(精密仮歯)装着しました。
【上顎】
上下顎にプロビジョナル(精密仮歯)装着完了
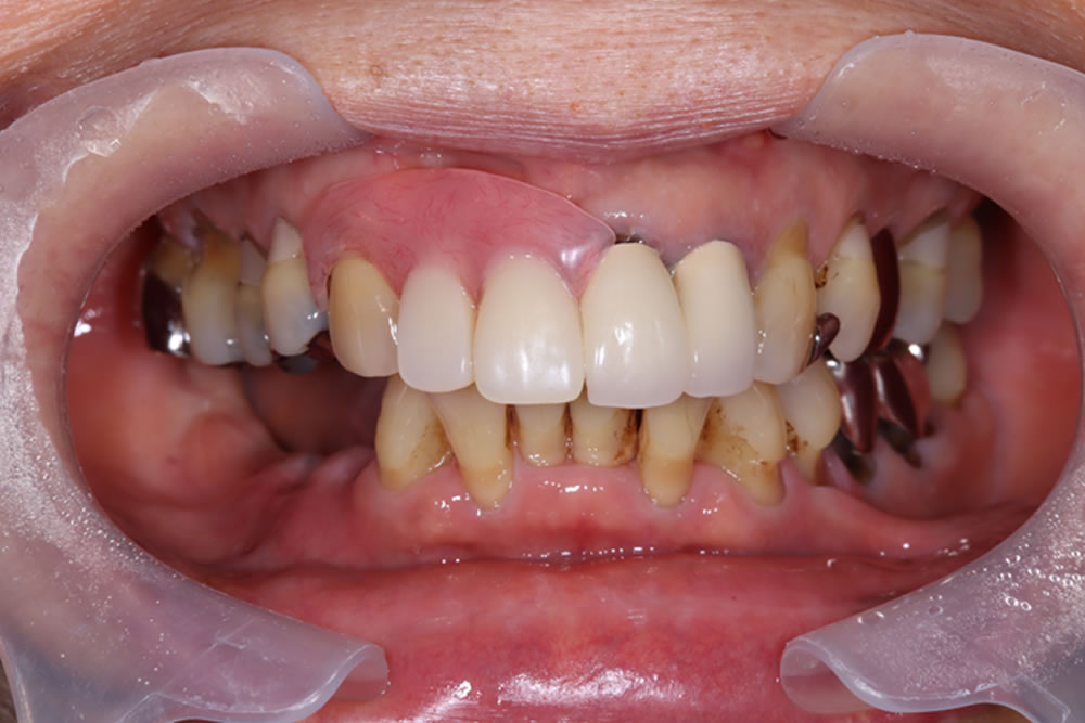
最終的な上部構造(人工歯)を装着・治療完了
プロビジョナル(精密仮歯)での経過が問題なかったため、最終的な上部構造(人工歯)を作製・装着し、治療完了となりました。
治療前後の比較
インプラント治療により、固いものもしっかり噛めるようになったとのことでした。また、歯肉移植を併用したことで、インプラント周囲の清掃性も向上しました。
| 年齢・性別 | 70代 女性 |
|---|---|
| 治療期間 | 8ヵ月 |
| 治療回数 | 20回 |
| 治療費(税込) | 1,725,000円 |
| リスク・注意点 | 外科処置には術後麻痺等のリスクがあります。 骨の状態によっては治療期間が長くなる場合があります。 |
下松市で安全面にこだわった精密インプラント治療をご希望の方へ

エトワール歯科クリニックでは、歯を失った方に前向きにインプラント治療をご検討いただけるよう、診査・診断をしっかり行い、リスクの軽減に努めております。下松市で安全面にこだわった精密インプラント治療をご希望の方は、ぜひ当院までお気軽にご相談ください。









































